Transformaciones Reales, Sonrisas Reales
Resultados visibles que reflejan nuestro compromiso
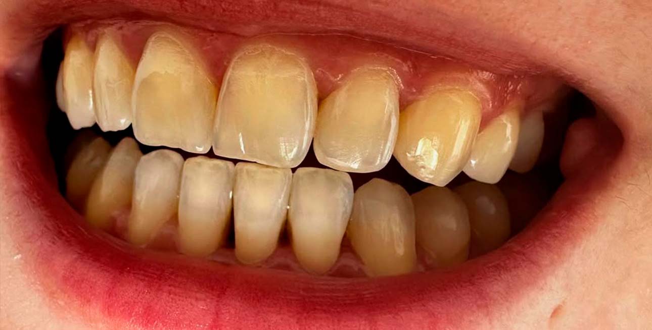
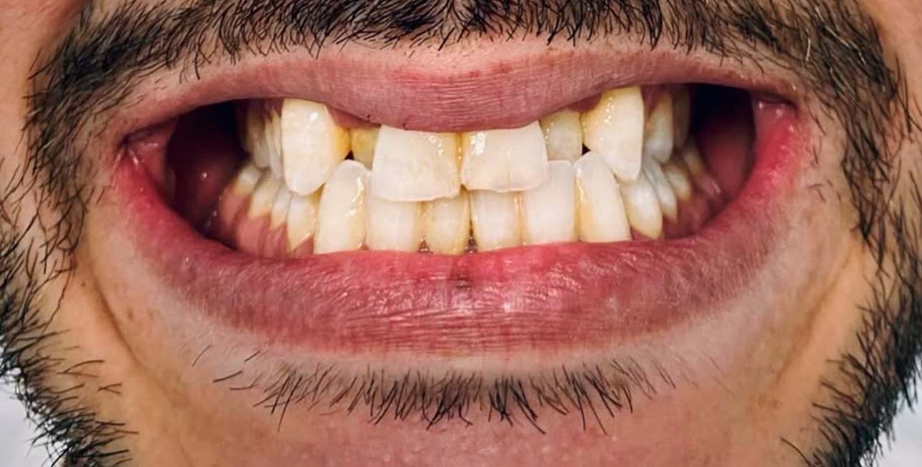
En nuestra clínica, cada tratamiento cuenta una historia de confianza, cuidado y transformación. Aquí te mostramos algunos de los casos reales de pacientes que confiaron en nosotros para mejorar su salud bucal y estética dental. Desde ortodoncia y blanqueamiento hasta rehabilitaciones completas, cada sonrisa que ves aquí es el resultado de un plan personalizado y un equipo comprometido.



AntesDespués



AntesDespués



AntesDespués



AntesDespués



AntesDespués



AntesDespués



AntesDespués



AntesDespués



AntesDespués



AntesDespués



AntesDespués



AntesDespués
